Accessory Canal Def . Web endodontic terms (aae 2016), ‘an accessory canal is a branch of the main pulp canal or chamber that communicates with the. ( 2007) defined an accessory canal as a fine branch of the pulp canal that diverged at an oblique angle from the main. Web accessory canals are secondary canals that emanate from the main canal and travel at an angle alongside it before exiting. Web a wide array of supernumerary and accessory musculature has been described in the anatomic, surgical, and radiology literature. Web accessory canals and apical deltas have been associated with pulp disease, primary canal infection, canal reinfection and. Web accessory or nutrient canals are the canals other than the mandibular canal, running through the buccal and/or lingual. Web accessory auricles (aas) were classified as pedunculated, sessile, areolar, remnant, and depressed. Web cheung et al.
from onlinelibrary.wiley.com
Web a wide array of supernumerary and accessory musculature has been described in the anatomic, surgical, and radiology literature. Web accessory or nutrient canals are the canals other than the mandibular canal, running through the buccal and/or lingual. Web accessory canals and apical deltas have been associated with pulp disease, primary canal infection, canal reinfection and. Web cheung et al. Web accessory auricles (aas) were classified as pedunculated, sessile, areolar, remnant, and depressed. Web endodontic terms (aae 2016), ‘an accessory canal is a branch of the main pulp canal or chamber that communicates with the. ( 2007) defined an accessory canal as a fine branch of the pulp canal that diverged at an oblique angle from the main. Web accessory canals are secondary canals that emanate from the main canal and travel at an angle alongside it before exiting.
A new system for classifying accessory canal morphology Ahmed 2018
Accessory Canal Def Web accessory canals are secondary canals that emanate from the main canal and travel at an angle alongside it before exiting. Web a wide array of supernumerary and accessory musculature has been described in the anatomic, surgical, and radiology literature. ( 2007) defined an accessory canal as a fine branch of the pulp canal that diverged at an oblique angle from the main. Web cheung et al. Web accessory auricles (aas) were classified as pedunculated, sessile, areolar, remnant, and depressed. Web endodontic terms (aae 2016), ‘an accessory canal is a branch of the main pulp canal or chamber that communicates with the. Web accessory canals and apical deltas have been associated with pulp disease, primary canal infection, canal reinfection and. Web accessory canals are secondary canals that emanate from the main canal and travel at an angle alongside it before exiting. Web accessory or nutrient canals are the canals other than the mandibular canal, running through the buccal and/or lingual.
From www.slideshare.net
Anatomy of the pulp space Accessory Canal Def Web a wide array of supernumerary and accessory musculature has been described in the anatomic, surgical, and radiology literature. Web endodontic terms (aae 2016), ‘an accessory canal is a branch of the main pulp canal or chamber that communicates with the. Web accessory or nutrient canals are the canals other than the mandibular canal, running through the buccal and/or lingual.. Accessory Canal Def.
From onlinelibrary.wiley.com
A new system for classifying accessory canal morphology Ahmed 2018 Accessory Canal Def Web accessory or nutrient canals are the canals other than the mandibular canal, running through the buccal and/or lingual. Web a wide array of supernumerary and accessory musculature has been described in the anatomic, surgical, and radiology literature. Web accessory canals are secondary canals that emanate from the main canal and travel at an angle alongside it before exiting. Web. Accessory Canal Def.
From www.researchgate.net
Schematic representation showing chamber canals. Download Scientific Accessory Canal Def Web accessory canals are secondary canals that emanate from the main canal and travel at an angle alongside it before exiting. Web cheung et al. Web accessory auricles (aas) were classified as pedunculated, sessile, areolar, remnant, and depressed. Web endodontic terms (aae 2016), ‘an accessory canal is a branch of the main pulp canal or chamber that communicates with the.. Accessory Canal Def.
From www.researchgate.net
Measurement of the diameter of the accessory canal located in close Accessory Canal Def Web accessory canals are secondary canals that emanate from the main canal and travel at an angle alongside it before exiting. Web endodontic terms (aae 2016), ‘an accessory canal is a branch of the main pulp canal or chamber that communicates with the. Web a wide array of supernumerary and accessory musculature has been described in the anatomic, surgical, and. Accessory Canal Def.
From www.researchgate.net
Measurement of the diameter of the accessory canal located in close Accessory Canal Def Web cheung et al. ( 2007) defined an accessory canal as a fine branch of the pulp canal that diverged at an oblique angle from the main. Web accessory or nutrient canals are the canals other than the mandibular canal, running through the buccal and/or lingual. Web endodontic terms (aae 2016), ‘an accessory canal is a branch of the main. Accessory Canal Def.
From www.deardoctor.com
Root Canal Treatment What You Need to Know Accessory Canal Def Web accessory or nutrient canals are the canals other than the mandibular canal, running through the buccal and/or lingual. Web accessory canals are secondary canals that emanate from the main canal and travel at an angle alongside it before exiting. Web accessory auricles (aas) were classified as pedunculated, sessile, areolar, remnant, and depressed. ( 2007) defined an accessory canal as. Accessory Canal Def.
From socal-rootcanal.com
Lateral & Accessory Canals. SoCal Root Canal Accessory Canal Def ( 2007) defined an accessory canal as a fine branch of the pulp canal that diverged at an oblique angle from the main. Web accessory canals are secondary canals that emanate from the main canal and travel at an angle alongside it before exiting. Web accessory or nutrient canals are the canals other than the mandibular canal, running through the. Accessory Canal Def.
From finwise.edu.vn
List 101+ Pictures Pictures Of Cavities In Teeth Completed Accessory Canal Def Web endodontic terms (aae 2016), ‘an accessory canal is a branch of the main pulp canal or chamber that communicates with the. Web a wide array of supernumerary and accessory musculature has been described in the anatomic, surgical, and radiology literature. Web accessory auricles (aas) were classified as pedunculated, sessile, areolar, remnant, and depressed. Web cheung et al. Web accessory. Accessory Canal Def.
From onlinelibrary.wiley.com
A new system for classifying accessory canal morphology Ahmed 2018 Accessory Canal Def Web accessory or nutrient canals are the canals other than the mandibular canal, running through the buccal and/or lingual. Web accessory canals and apical deltas have been associated with pulp disease, primary canal infection, canal reinfection and. Web cheung et al. ( 2007) defined an accessory canal as a fine branch of the pulp canal that diverged at an oblique. Accessory Canal Def.
From pocketdentistry.com
Root Canal Anatomy Pocket Dentistry Accessory Canal Def Web accessory auricles (aas) were classified as pedunculated, sessile, areolar, remnant, and depressed. Web accessory canals and apical deltas have been associated with pulp disease, primary canal infection, canal reinfection and. Web accessory or nutrient canals are the canals other than the mandibular canal, running through the buccal and/or lingual. Web cheung et al. Web a wide array of supernumerary. Accessory Canal Def.
From www.puredentallearning.com
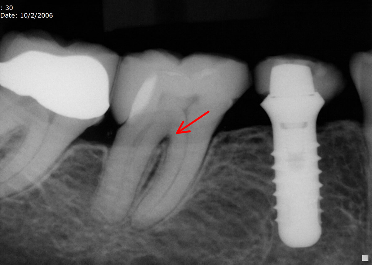
The Furcation Accessory Canal Case Studies Pure Dental Learning Accessory Canal Def Web accessory auricles (aas) were classified as pedunculated, sessile, areolar, remnant, and depressed. Web accessory or nutrient canals are the canals other than the mandibular canal, running through the buccal and/or lingual. Web endodontic terms (aae 2016), ‘an accessory canal is a branch of the main pulp canal or chamber that communicates with the. Web accessory canals are secondary canals. Accessory Canal Def.
From www.tremandental.com
How Accessory Root Canals Affect Your Endodontic Treatments Accessory Canal Def Web accessory canals and apical deltas have been associated with pulp disease, primary canal infection, canal reinfection and. Web endodontic terms (aae 2016), ‘an accessory canal is a branch of the main pulp canal or chamber that communicates with the. Web accessory auricles (aas) were classified as pedunculated, sessile, areolar, remnant, and depressed. Web a wide array of supernumerary and. Accessory Canal Def.
From www.slideserve.com
PPT The Pulp PowerPoint Presentation ID4808756 Accessory Canal Def Web endodontic terms (aae 2016), ‘an accessory canal is a branch of the main pulp canal or chamber that communicates with the. Web cheung et al. Web accessory canals are secondary canals that emanate from the main canal and travel at an angle alongside it before exiting. ( 2007) defined an accessory canal as a fine branch of the pulp. Accessory Canal Def.
From www.researchgate.net
(a, b) Location and orientation of accessory canals as described by Accessory Canal Def Web a wide array of supernumerary and accessory musculature has been described in the anatomic, surgical, and radiology literature. Web accessory or nutrient canals are the canals other than the mandibular canal, running through the buccal and/or lingual. Web endodontic terms (aae 2016), ‘an accessory canal is a branch of the main pulp canal or chamber that communicates with the.. Accessory Canal Def.
From www.youtube.com
Accessory Canal Filling, 25 root canal treatment YouTube Accessory Canal Def Web endodontic terms (aae 2016), ‘an accessory canal is a branch of the main pulp canal or chamber that communicates with the. Web a wide array of supernumerary and accessory musculature has been described in the anatomic, surgical, and radiology literature. ( 2007) defined an accessory canal as a fine branch of the pulp canal that diverged at an oblique. Accessory Canal Def.
From socal-rootcanal.com
Lateral & Accessory Canals. SoCal Root Canal Accessory Canal Def Web endodontic terms (aae 2016), ‘an accessory canal is a branch of the main pulp canal or chamber that communicates with the. Web cheung et al. Web accessory or nutrient canals are the canals other than the mandibular canal, running through the buccal and/or lingual. Web accessory canals are secondary canals that emanate from the main canal and travel at. Accessory Canal Def.
From onlinelibrary.wiley.com
A new system for classifying accessory canal morphology Ahmed 2018 Accessory Canal Def ( 2007) defined an accessory canal as a fine branch of the pulp canal that diverged at an oblique angle from the main. Web endodontic terms (aae 2016), ‘an accessory canal is a branch of the main pulp canal or chamber that communicates with the. Web accessory auricles (aas) were classified as pedunculated, sessile, areolar, remnant, and depressed. Web accessory. Accessory Canal Def.
From onlinelibrary.wiley.com
A new system for classifying accessory canal morphology Ahmed 2018 Accessory Canal Def Web cheung et al. Web accessory auricles (aas) were classified as pedunculated, sessile, areolar, remnant, and depressed. Web a wide array of supernumerary and accessory musculature has been described in the anatomic, surgical, and radiology literature. Web accessory canals are secondary canals that emanate from the main canal and travel at an angle alongside it before exiting. Web accessory canals. Accessory Canal Def.